Несостоятельность рубца на матке после кесарева сечения
С каждым годом количество родоразрешений с помощью кесарева сечения неуклонно растет. Сегодня около 25% родов проводится путем операции кесарева сечения, и рубец на матке — следствие естественного процесса регенерации во время восстановления поврежденной маточной стенки. Его качество имеет значение, если женщина в дальнейшем еще планирует рождение детей. Полноценный рубец, способный растягиваться при наступлении беременности по мере увеличения матки в размерах, не представляет угрозы, причем с одним кесаревым сечением в анамнезе женщина может рожать самостоятельно. Но появление в зоне шва неэластичных соединительнотканных волокон означает формирование несостоятельного рубца. У таких пациенток последующая беременность и роды сопряжены с высоким риском осложнений.
Причины появления несостоятельного рубца
Но почему у одних женщин роды с помощью кесарева проходят благополучно, а у других осложняются формированием несостоятельного рубца? Процесс регенерации зависит от величины разреза на матке во время родоразрешения, используемой оперативной методики, шовного материала, а также биологических свойств тканей самой пациентки. Также фактором риска является родоразрешение путем операции кесарева сечения, проводимое по экстренным показаниям. Но основным среди неблагоприятных факторов, увеличивающих риск осложнения, является послеродовой эндометрит, у 85% женщин именно он становится причиной формирования несостоятельного рубца.
Помимо послеродовых осложнений, существуют дополнительные факторы риска, такие как травма матки (ишемия, отек, деструкция тканей в области шва), кровопотеря, микрогематомы, а также разрыв матки и связанные с ним осложнения, прежде всего кровоизлияния с последующим инфицированием и тромбозом. Немалую роль играет процесс заживления шва, инфекции в раннем послеоперационном периоде. Внутриматочные манипуляции в первый год после родов также способствуют появлению на матке несостоятельного рубца.
Можно ли определить наличие несостоятельного рубца
Поскольку рубец представляет опасность для женщины в случае новой беременности, можно ли распознать потенциальную опасность? Признаками несостоятельности рубца на матке после кесарева является боль в нижних отделах живота, которая становится более выраженной с увеличением срока беременности, что связано с растяжением тканей. Присоединение воспалительного процесса приводит к появлению тошноты, слабости, учащению пульса, водянистым выделениям, отмечаются повторяющиеся эпизоды повышения температуры.
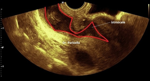
Ниша в области рубца на матке
Но клинические проявления не отражают действительной тяжести состояния пациентки, поэтому решающее значение при диагностике имеет обследование с проведением трансвагинального УЗИ, гидросонографии, гистероскопии, МРТ органов малого таза. У 70% пациенток в зоне рубца определяется наличие ниши — дефекта стенки со стороны полости матки, имеющей вид неправильной конусовидной формы с выраженным истончением в дистальной зоне. Этот признак частичного расхождения шва на матке практически невозможно обнаружить клинически.
У трети пациенток толщина миометрия составляет 1,5-2,5 мм, появляются локальные изменения его структуры в зоне рубца или диффузные — в виде множественных очагов пониженной эхогенности с нечеткими контурами, расположенные в передней стенке матки. Также в зоне рубца может определяться эндометриоидный инфильтрат, который требует оперативного удаления. Оценка состояния рубцовой ткани с помощью диагностических методик позволяет судить об особенностях рубца еще до наступления повторной беременности, что важно для прогноза предстоящих родов.
В чем состоит опасность?
Прежде всего следует учитывать возможность имплантации оплодотворенной яйцеклетки к поверхности рубца, что препятствует нормальному развитию эмбриона, как правило, такая беременность заканчивается выкидышем. Также течение последующей беременности при несостоятельном рубце на матке после кесарева может осложниться разрывом матки на любом сроке, не исключено врастание плаценты в рубец, ее отслойка и массивное кровотечение. Роды в большинстве случаев относятся к тяжелым, высок риск осложнений, представляющих угрозу как для женщины, так и для ребенка.
Что делать?
Чтобы дать организму время для восстановления, повторную беременность лучше планировать не раньше, чем через пару лет после родов путем кесарева сечения, но рубец на матке нередко остается неполноценным спустя даже несколько лет. Единственная возможность устранить проблему, восстановив репродуктивную функцию женщины — реконструктивная метропластика, целью которой является иссечение патологического рубца с формированием полноценного шва, вследствие чего целостность и функциональность стенки матки восстанавливается. Пластика рубца на матке после кесарева рекомендована пациенткам с подтвержденным в ходе обследования диагнозом.
Поскольку рубец расположен в зоне с обильным кровоснабжением, где иссечение чревато кровотечением, нередко хирурги предпочитают открытую операцию (лапаротомию) с внушительным разрезом передней брюшной стенки. При лапароскопии, выполняемой через несколько небольших проколов на коже живота, манипуляции приходится выполнять в сложных условиях: под мочевым пузырем, и при недостатке опыта сформировать качественный шов на матке довольно сложно вследствие «неудобной» для хирурга локализации. Возможное кровотечение, когда визуализация оперируемого участка затруднена, вынуждает хирурга перейти в процессе лапароскопии к открытой операции.
Мой подход к лечению
Чтобы сделать хирургическое лечение несостоятельного рубца на матке после кесарева максимально безопасным, я разработал уникальную методику операции, позволяющую устранить неполноценный шов в ходе лапароскопии, но без риска интраоперационных осложнений. Речь идет о запатентованной методике (патент № 2407467) — временной окклюзии внутренних подвздошных артерий, от которых отходят маточные артерии, питающие матку. При этом используемая мной техника сшивания стенки матки позволяет получить новый состоятельный шов, что важно для женщины, планирующей зачатие и рождение детей.
Задать вопросы и записаться на консультацию можно
по телефону:
Как проводится метропластика
Первым этапом во время лапароскопии внутренние подвздошные артерии с обеих сторон поочередно выделяются, затем с помощью наложения мягких зажимов в них временно перекрывается кровоток, ведущий к матке. После вскрытия пузырно-маточной складки с помощью монополярного электрода рубцовая ткань иссекается, затем формируется новый шов. Использование системы воздействия ForceTriad позволяет выполнить это в щадящем режиме с минимальной травматизацией ткани.
Граница, отделяющая патологический рубец и здоровые ткани, хорошо просматривается, поэтому ушивание можно провести максимально надежно, точно сопоставляя все слои матки, которые также хорошо видны при отсутствии кровотечения. При этом я использую синтетическую рассасывающуюся нить Monocrуl в два ряда с перитонизацией, что способствует формированию качественного шва. При наличии сопутствующих заболеваний органов малого таза (очагов наружного эндометриоза, миоматозных узлов) я попутно устраняю эти нарушения. Затем зажимы с сосудов снимаются, кровоток полностью восстанавливается. Для предупреждения формирования спаек, являющихся причиной различных заболеваний, в том числе бесплодия, я использую современные противоспаечные барьеры и гели.
Преимущества авторской методики — бескровной коррекции несостоятельного рубца на матке
- Риск угрожающего жизни кровотечения исключен;
- Отсутствие кровотечения позволяет, точно сопоставлять слои матки, сформировать полноценный рубец, что важно для последующей беременности и родов;
- Отсутствует травматизация здоровых тканей;
- Риск повреждения важных структур, расположенных в зоне операции, исключен, поскольку при лапароскопии используется видеоэндоскопическое оборудование, и возможность визуализации позволяет проводить все действия точно и безопасно.
Поскольку при проведении операции я использую малоинвазивную лапароскопическую методику, при которой отсутствует обширное повреждение тканей, то восстановление протекает значительно быстрее. Длительность госпитализации не превышает 3 дней, уже в первый день после операции женщина может ходить, что важно для профилактики послеоперационных тромбозов и тромбоэмболии. Важно отметить, что вследствие малотравматичности в послеоперационный период отсутствует болевой синдром, а возможные незначительные болезненные проявления легко купируются обычными обезболивающими средствами.
Особенности восстановления
На 5-7 день после метропластики проводится УЗИ органов малого таза, в дальнейшем его рекомендовано проходить через 1, 3, 6, 9, 12 месяцев. Беременность я рекомендую отложить на 9-12 месяцев, желательно предварительно пройти обследование, куда входит гистеросальпингография, в ходе которой можно оценить проходимость труб, состояние полости матки. В зависимости от размера рубца роды в дальнейшем могут быть как естественные, так и путем операции кесарева сечения.
Я провожу около 1100-1200 лапароскопических операций ежегодно, в том числе по поводу несостоятельности рубца на матке после кесарева сечения. Я также одним из первых в стране начал проводить симультанные операции — одновременное удаление нескольких заболеваний в ходе одной анестезии. С обобщенными результатами лечения можно ознакомиться в монографии «Лапароскопические операции в гинекологии» или в многочисленных публикациях, которые размещены в научных рецензируемых изданиях: российских и зарубежных. Ежегодно я при сотрудничестве с командой специалистов провожу около 40 мастер-классов и семинаров, на которых освещаются современные аспекты высокотехнологической лапароскопической хирургии. На моих семинарах присутствуют специалисты различных центров и клиник, курсанты постдипломного образования, которых интересует лапароскопическое лечение патологий матки и других органов.
Отзывы пациентов
Спасибо Вам за счастье стать мамой во второй раз. Этого бы не произошло никогда, если бы не Вы! Обнимаем Вас крепко! СПАСИБО!!!
P.S. Может Вы напишете пост или сделаете прямой эфир о том, что Вы еще занимаетесь и этой проблемой? Мне кажется это так актуально для многих женщин!
Пусть они знают, что есть Вы - человек, способный решить любую проблему! Я Вас очень люблю! Здоровья Вам!
Хочу выразить Вам и коллективу клиники огромную благодарность за мое исцеление и подаренную возможность вновь стать матерью.
Мы с мужем планировали рождение второго ребенка. В 2011 году по причине миомы большого размера (10 см) у меня случился выкидыш. Врачи сказали, что с такой миомой ребенка выносить невозможно. Многих врачей посетила я в надежде на исцеление, но ни один не вызвал такого доверия и уверенности в успехе, как Вы, Константин Викторович. Я ехала на операцию без всякого страха и сомнения.
2.07.12г. была проведена операция по удалению миомы. Послеоперационный период прошел легко и быстро, благодаря профессионализму врачей, заботливому и внимательному отношению персонала клиники.
4 декабря 2013 года в нашей семье случилось счастливое событие: родился сын (3800гр, 55см). Беременность прошла благополучно. Рубец на матке не помешал мне доносить ребенка до 42-й недели и родить самостоятельно.
Благодарю Бога, за то, что встретила Вас. Огромное спасибо, Константин Викторович, за ваш великий труд! Вы помогаете людям в самый сложный момент их жизни, дарите надежду и радость исцеления.
Желаю Вам и сотрудникам клиники здоровья, радости, любви и долгих лет счастливой жизни!
С уважением,
Кристина
Поздравляю Вас и весь ваш слаженный коллектив с Новым 2013 годом! Желаю Вам здоровья! Вы так помогаете людям!
О себе: была совершенно безнадежная, казалось бы, ситуация. После второго кесарева сечения выяснилось, что рубец на матке несостоятелен, беременность исключена, т.е. о рождении еще детей , как меня уверяли, надо забыть. Плюс стал развиваться аденомиоз матки. И вот одна потрясающая врач-гинеколог сказала мне о Вас.
Я решилась на операцию. Это просто чудо какое-то. Операция была в мае 2012 года. На сегодняшний день рубец состоятелен, боли прошли,чувствую себя прекрасно и вновь планирую беременность. Чудеса случаются!
Спасибо Вам!
Огромное спасибо так же Анне Викторовне за чуткость, доброту, спокойствие и отзывчивость!
С новым годом!
Тютюнник Анастасия
tutunnik_a@mail.ru
Я с Вами списывалась в январе (Вы меня оперировали 2 года назад по поводу множественной миомы матки с очень большими узлами — до 10 см), и у меня были вопросы к Вам во время беременности.
Сейчас пишу, как и обещала. В апреле путем кесарева сечения родился у меня сын! Оперирующий врач сказала, что рубец после вашей операции отличный!
У нас все хорошо, малыш здоров, растем и радуемся...
Очень много писем приходит, после размещения Вами моей почты и отзыва, всем отвечаю...
поддерживаю других, как могу,
Спасибо Вам еще раз,
С уважением Кристина.
kristinj@mail.ru"
Предыдущее письмо от Кристины от 12.01.2012
«Здравствуйте Константин Викторович!
Меня зовут Спирина Кристина, я Ваша пациентка. 2 года назад Вами была произведена операцию по удалению множественной миомы матки с очень большими узлами — до 10 см.
Могу похвалиться, сейчас у меня 28 недель!!! Очень Вам благодарна за результат операции.
С уважением, Кристина.
С Новым годом и Рождеством! Счастья и здоровья Вам и Вашим близким!!!»
Кристина J.
Мне не хочется повторяться, у меня история похожа на многие другие, о которых здесь написано немало, также пришлось испытать черствость и непрофессионализм врачей. Расскажу только один случай, который потряс меня и вынудил искать другие пути и даже другую страну для решения моей проблемы. Когда я делала очередное УЗИ, врач говорит мне: «я советую Вам все выкинуть» (привожу дословно ее слова), я не поняла, что «выкинуть» и переспросила ее, на что последовал ответ: «Вам надо удалить матку полностью, т.к. она уже свое отработала и Вам не нужна» (мне 47 лет), хотя УЗИ показало только кисту правого яичника. Я была в шоке от ее слов и для себя решила, что надо искать самой профессионального врача.
Зашла в интернет, нашла сайт Пучкова К.В., где было написано: «могу ли я помочь именно Вам?», сразу поняла, что этот человек мне действительно поможет и вспомнила, что видела сюжет о нем в передаче «Здоровье» с Е.Малышевой. Написала о своей проблеме и получила сразу же ответ. Я была поражена тем, что Константин Викторович при своей загруженности, успевает всем ответить и разобраться в проблеме каждого. Кстати, сайт замечательный, можно найти ответ на любой интересующий вопрос.
Благодаря такому ТАЛАНТЛИВОМУ и ПРОФЕССИОНАЛЬНОМУ ВРАЧУ, как КОНСТАНТИН ВИКТОРОВИЧ, в клинике самое современное оборудование, все продумано до мелочей, и что немаловажно, нет никаких хлопот для родных и близких, т.к. в клинике имеется все необходимое и даже больше для лечения пациента. Самое главное достоинство этой клиники – это заботливый и внимательный персонал ее, а именно, Юрий Евстафьевич, Леонид Венедиктович, Анна Викторовна, Юлия Евгеньевна, медицинские сестры, Ольга и Анастасия с ресепшен. Всем огромная благодарность от меня.
Огромное человеческое спасибо ВАМ, КОНСТАНТИН ВИКТОРОВИЧ, за то, что Вы делаете своими золотыми руками. Для меня жизнь приобрела новый смысл благодаря ВАМ!
С уважением – Галина, г.Харьков, Украина.
galinpav08@yandex.ru
В 2010 году, когда я решилась родить ребенка, мне поставили диагноз «миома матки 16 недель» и предложили «лечение»-удаление матки, после чего о материнстве нельзя даже было и мечтать. Я обращалась ко многим врачам, но результат был один-все предлагали удаление матки. Невозможно передать словами, что я чувствовала, в каком отчаянии я была, когда поняла, что не смогу никогда стать мамой, что буду пустоцветом.
Случайно я узнала о том, что профессор К. В. Пучков проводит уникальные органосохраняющие операции, и поспешила обратиться в клинику, где он оперировал. Меня приняли очень доброжелательные, милые доктора — Анна Викторовна и Юлия Евгеньевна, а сам Константин Викторович своей энергичностью, доброжелательностью и профессионализмом вызвал положительные эмоции, успокоение и вселил надежду и уверенность, что все будет хорошо. Через несколько дней мне сделали операцию по удалению миомы. Послеоперационный период прошел очень хорошо, я быстро восстановилась после операции. В клинике был замечательный уход, и через 10 дней об операции мне напоминали только 3 небольших шрамика.
А через 7 месяцев после операции я смогла сразу забеременеть. Рубец на матке, оставшийся после операции, всю беременность «вел себя хорошо», и когда мне делали УЗИ в разных клиниках, врачи всегда восхищались состоянием рубца на матке, оставшегося после мастерски проведенной операции. А в январе 2012 года (на 39 неделе) у меня родилась дочка, за которую я всегда буду благодарна и Константину Викторовичу, и Юлии Евгеньевне, и, конечно же, Анне Викторовне Добычиной. Через всю беременность Анна Викторовна провела меня за ручку, всегда была готова помочь. Благодаря Анне Викторовне моя беременность была просто удовольствием.
Уважаемые Константин Викторович, Юлия Евгеньевна, Анна Викторовна, спасибо вам огромное за подаренное мне счастье быть мамой, за мою лапочку-дочку, за ваше доброе отношение и участие. Благодарю вас за индивидуальный подход и за все, что вы сделали для нашей семьи.»
Юлиана Беляева
krabik15@yandex.ru
















